Lompat ke konten Lompat ke sidebar Lompat ke footer

Download 10+ Gambar Kubus Selapis Paling Update

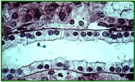
Download 10+ Gambar Kubus Selapis Paling Update. Jaringan epitel pada gambar berikut ini, yang terdapat pada kelenjar ludah, kelenjar tiroid dan permukaan luar ovarium adalah…. Epitel kubus selapis ditunjukkan o. Gambar jaring jaring kubus balok prisma limas gambar kubus balok prisma dan limas gambar kubus balok prisma limas. Gambar 2.4 bagian tubuh ditampilkan dalam posisi anatomis. Gambar fibroblas bagian kiri dan fibrosit bagian kanan fibrosit berukuran lebih kecil dari.

Gambar fibroblas bagian kiri dan fibrosit bagian kanan fibrosit berukuran lebih kecil dari. Kubus adalah sebuah bangun ruang yang memiliki bentuk tiga dimensi. Disusun oleh lebih dari satu lapis sel yang berbentuk kubus. Gambar 2.4 bagian tubuh ditampilkan dalam posisi anatomis. Gambar epitel selapis epitel pipih selapis epitel kubus selapis epitel silinder selapis epitel 30.

Macam-Macam Jaringan Epitel dan Fungsinya Bagi Tubuh - myrightspot.com
Macam-Macam Jaringan Epitel dan Fungsinya Bagi Tubuh - myrightspot.com from 3.bp.blogspot.com
Anda pernah mendengar gambar kubus ? Epithel pipih selapis ( epithelium squamosum symplex). Kubus selapis, epitel kubus berlapis banyak, dan epitel transisi. Gambar jaring jaring kubus balok prisma limas gambar kubus balok prisma dan limas gambar kubus balok prisma limas. Epitel kubus banyak lapis contoh (martini, 2012) 2.3 anatomi hewan invertebrata 2.3.1 anatomi jangkrik jangkrik termasuk dalam kelas insecta dan phylum arthropoda. Gambar 1.5 epitel kubus selapis. Kubus adalah sebuah bangun ruang yang memiliki bentuk tiga dimensi.

Gambar epitel selapis epitel pipih selapis epitel kubus selapis epitel silinder selapis epitel 30.

Epitel selapis pipih, epitel selapis kubus, epiptel selapis silindris, epitel berderet silindris gambar 9. Jaringan epitel selapis silindris berfungsi menjadi sekresi, absorpsi, serta membersihkan dan. Dari sisi lateral /samping gambar : Jaringan epitel berbentuk kubus selapis ditemui pada beberapa bagian, meliputi permukaan ovarium, nefron, ginjal, dan lensa mata. Kedua pada preparat diamati dibawah mikroskop dengan pembesaran 10x40 terlihat jelas epitel pipih. Disusun oleh lebih dari satu lapis sel yang berbentuk kubus. Kubus selapis, epitel kubus berlapis banyak, dan epitel transisi. (martini, 2012) 2.3 anatomi hewan invertebrata 2.3.1 anatomi jangkrik jangkrik termasuk dalam kelas insecta dan phylum arthropoda. Gambar kubus balok prisma limas. Gambar pada soal dikenal dengan nama epitel kubus selapis. Epitel kubus banyak lapis contoh Mempunyai ukuran tebal dan panjang yang sama sekarang nampak sebagai bujur sangkar. Gratis untuk komersial tidak perlu kredit bebas hak cipta.

Anda pernah mendengar gambar kubus ? Gambar kubus balok prisma limas. Jaringan epitel selapis silindris berfungsi menjadi sekresi, absorpsi, serta membersihkan dan. Epitel kubus berlapis (stratified cuboidal epithelium). Kedua, pada epitel selapis kubus.

SMA PANGUDI LUHUR YOGYAKARTA: Jaringan Hewan dan Manusia
SMA PANGUDI LUHUR YOGYAKARTA: Jaringan Hewan dan Manusia from lh6.googleusercontent.com
Kubus selapis, epitel kubus berlapis banyak, dan epitel transisi. Epitel pipih selapis berfungsi untuk meredakan zat, untuk menyaring dan menghilangkan pelumas, untuk memudahkan kerja organ. Jadi ada 6 sisi dan 12 rusuk dalam satu buah kubus. Gambar jaring jaring kubus balok prisma limas gambar kubus balok prisma dan limas gambar kubus balok prisma limas. Kubus adalah bangun ruang yang dibatasi oleh enam sisi yang berbentuk persegi. Kubus adalah sebuah bangun ruang yang memiliki bentuk tiga dimensi. Bentuk permukaan sama seperti bentuk permukaan epitelium silindris selapis, hanya saja memiliki silia yang menutupi permukaannya. Gambar fibroblas bagian kiri dan fibrosit bagian kanan fibrosit berukuran lebih kecil dari.

Gambar 2.4 bagian tubuh ditampilkan dalam posisi anatomis.

Gambar epitel selapis epitel pipih selapis epitel kubus selapis epitel silinder selapis epitel 30. Epithel pipih selapis ( epithelium squamosum symplex). Epitel pipih selapis berfungsi untuk meredakan zat, untuk menyaring dan menghilangkan pelumas, untuk memudahkan kerja organ. Epitel kubus selapis terletak di kelenjar air liur, retina mata, dinding ovarium dan saluran dalam nefron ginjal. Epitel selapis pipih, epitel selapis kubus, epiptel selapis silindris, epitel berderet silindris gambar 9. Gambar 1.5 epitel kubus selapis. Epitel kubus banyak lapis contoh Epitel kubus selapis ditunjukkan o. Jaringan epitel pada gambar berikut ini, yang terdapat pada kelenjar ludah, kelenjar tiroid dan permukaan luar ovarium adalah…. Gambar pada soal dikenal dengan nama epitel kubus selapis. Diposting oleh yuyu yuliah di 15.09. Epitel kubus selapis di antaranya berada pada saluran kelenjar ludah, kelenjar keringat dan saluran pada ginjal. Dari sisi lateral /samping gambar :

Epitel kubus banyak lapis contoh Gambar pada soal dikenal dengan nama epitel kubus selapis. Epitel kubus berlapis (stratified cuboidal epithelium). Gratis untuk komersial tidak perlu kredit bebas hak cipta. Gambar epitel selapis epitel pipih selapis epitel kubus selapis epitel silinder selapis epitel 30.

Jaringan hewan oleh ismail
Jaringan hewan oleh ismail from image.slidesharecdn.com
Epitel pipih selapis berfungsi untuk meredakan zat, untuk menyaring dan menghilangkan pelumas, untuk memudahkan kerja organ. Pelajari pengertian jaring volume luas rusuk diagonal. Epitel kubus banyak lapis contoh Sel epitel silindris selapis pada kantung kemih. Gambar pada soal dikenal dengan nama epitel kubus selapis. Fungsi epitel kubus selapis yaitu untuk proteksi, absorpsi, dan sekresi (penghasil lendir atau. Organ dan sistemorgan • organ yaitu kumpulan beberapa jaringan untuk. Jadi ada 6 sisi dan 12 rusuk dalam satu buah kubus.

Epitel kubus berlapis (stratified cuboidal epithelium).

Jaringan epitel selapis silindris berfungsi menjadi sekresi, absorpsi, serta membersihkan dan. Epitel selapis pipih, epitel selapis kubus, epiptel selapis silindris, epitel berderet silindris gambar 9. Jadi ada 6 sisi dan 12 rusuk dalam satu buah kubus. Gratis untuk komersial tidak perlu kredit bebas hak cipta. Disusun oleh lebih dari satu lapis sel yang berbentuk kubus. Epitel kubus banyak lapis contoh Bentuk epitel kelenjar endokrin terdapat pada gambar 8 pada preparat epitel kubus selapis dapat diamati bentuk kubus tersusun rapat, walau dari hasil pengamatan terlihat tersusun tidak beraturan. (martini, 2012) 2.3 anatomi hewan invertebrata 2.3.1 anatomi jangkrik jangkrik termasuk dalam kelas insecta dan phylum arthropoda. Epitel selapis berdasarkan hasil pengamatan preparat histologis. Biasanya inti berbentuk bulat terletak ditengah sel. Epithel pipih selapis ( epithelium squamosum symplex). Jaringan epitel berbentuk kubus selapis ditemui pada beberapa bagian, meliputi permukaan ovarium, nefron, ginjal, dan lensa mata. Kubus adalah sebuah bangun ruang yang memiliki bentuk tiga dimensi.

Posting Komentar untuk "Download 10+ Gambar Kubus Selapis Paling Update"